Salmon fluke salmon poisoning

Salmon poisoning disease (fish disease) is a potentially fatal condition seen in dogs who have ingested certain types of raw fish found in the Pacific Northwest from San Francisco to the coast of Alaska. It is most prevalent from northern California to the Puget Sound. It is also seen inland along the rivers of fish migration.

Nanophyetus salmincola is limited to the geographic range of its intermediate hosts, primarily the US Pacific Northwest. Stream snails are found west of the Cascade Mountains in Oregon, north to the Olympic Peninsula in Washington, and in part of northern California. It is “the most common systemic trematode in the United States.”

Salmon Poisoning Disease is caused by a bacteria (Neorickettsia helminthoeca) that only afflict canines, including foxes, coyotes, wolves, and pet dogs. The bacteria are delivered to the dog by a trematode, or fluke, called Nanophyetus salmincola (notice that the second part of the name refers to salmon).

Rickettsia is a genus of nonmotile, gram-negative, nonspore-forming, highly pleomorphic bacteria that can present as cocci The term rickettsia,is often used interchangeably for any member of the Rickettsiales. Being obligate intracellular parasites, the Rickettsia survival depends on entry, growth, and replication within the cytoplasm of eukaryotic host cells (typically endothelial cells).

Scientific classification

Domain: Bacteria

Phylum: Proteobacteria

Class: Alphaproteobacteria

Subclass: Rickettsidae

Order: Rickettsiales

Family: Rickettsiaceae

Genus: Rickettsia

da Rocha-Lima, 1916

Trematoda

Trematoda is a class within the phylum Platyhelminthes. It includes two groups of parasitic flatworms, known as flukes.

They are internal parasites of molluscs and vertebrates. Most trematodes have a complex life cycle with at least two hosts. The primary host, where the flukes sexually reproduce, is a vertebrate. The intermediate host, in which asexual reproduction occurs, is usually a snail.

Scientific classification

Kingdom: Animalia

Phylum: Platyhelminthes

Class: Trematoda

Rudolphi, 1808

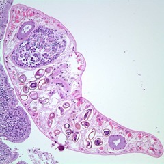
The rickettsial organism Neorickettsia helmonthoeca is embedded within the fluke, Nanophyetus salmincola, which is embedded within raw fish. Once in the dog's intestinal tract, the larval flukes excyst and release the rickettsiae. The rickettsial organisms then hematogenously spread to the liver, lungs, brain, and lymphoid tissues causing necrosis, hemorrhage, and hyperplasia.

Fluke infected with the rickettsia organism Neorickettsia helmonthoeca.

This fluke has a complicated life cycle that relies on at least three hosts (see image below). The first host is a snail called Oxytrema silicula. The second host is a salmon (the flukes have also been found in other fish species and in Giant Pacific Salamanders). Finally, a third host eats the infected fish and is thus infected by the fluke. If a dog (or a fox, coyote, or wolf) is the third host, the bacteria attack the dog’s lymph system, eventually hemorrhaging many of the lymph nodes. Death of the canine usually occurs within 10-14 days.

1.A host animal (there are 32 known hosts, including birds and mammals) defecates the eggs of a fluke (Nanophyetus salmincola) into water. 2.The flukes hatch. 3.The flukes infect a snail (first host) (Oxytrema silicula). The flukes mature, leave the snail, and enter the water. 4.The flukes infect a fish (second host). 5.The fish (infected with the fluke) is eaten by a bird or mammal (third host). 6.The fluke lays eggs in the digestive tract to be defecated, comC. pleting the life cycle. 7.If the third host is a canine (fox, coyote, wolf, or dog), the bacteria (Neorickettsia helminthoeca) that is present in the fluke throughout its lifecycle, attacks the lymph nodes of the canine, resulting in death.

Symptoms To Watch For

If not treated, salmon poisoning disease is usually fatal within 2 weeks after exposure. The symptoms of salmon poisoning disease are similar to other gastrointestinal diseases such as canine parvovirus. If infected, your dog would likely show some or all of the following symptoms about 6 to 10 days after ingesting fish which were carrying the bacteria. Symptoms may be of variable severity but generally consist of:

Fever, often greater than 104 F

Depression

Anorexia

Vomiting

Diarrhea

Nasal or eye discharge

Weight loss

Diagnosis & Treatment

If you know your dog has ingested raw fish and it exhibits any of the symptoms listed above, notify your veterinarian immediately. If identified in time, salmon poisoning disease is treatable. A helpful part of the diagnosis is telling your veterinarian that your dog ate raw fish. If your dog roams, raids trash cans, or you are unsure of what it has eaten for any reason, be sure to mention this to your veterinarian, especially if your dog is exhibiting any of the symptoms

The disease is diagnosed through finding the fluke eggs microscopically in a stool sample. A needle aspiration biopsy of an enlarged lymph node will reveal rickettsial organisms within macrophages in many cases. The rickettsial infection can be successfully treated with tetracycline, and the fluke infection can be treated with fenbendazole.

If a dog is vomiting at the time of evaluation, it may need to be hospitalized for IV fluid administration. Many dogs respond to treatment quickly, showing improvement in just a few days. Once recovered, many dogs have a permanent immunity to the strain they were infected with. However, infection with an alternate strain can occur so precautions should still be taken.

Prevention

The best treatment is prevention.

Control what your dog eats while on fishing trips.

Leash your dog at the beach or river so that you can monitor its activities.

Wrap garbage, especially fish entrails, and dispose in well-secured cans.

Don't feed raw fish to your dog. Cook fish thoroughly or deep-freeze it for a minimum of 2 weeks to destroy the parasite before feeding it to your dog.

Created By
Mia Laughlin
Appreciate

Made with Adobe Slate

Make your words and images move.

Get Slate

Report Abuse

If you feel that this video content violates the Adobe Terms of Use, you may report this content by filling out this quick form.

To report a Copyright Violation, please follow Section 17 in the Terms of Use.